Dr. med. vet. Hans-Joachim Klein
Fachtierarzt für Pferde
32051 Herford - Südbachweg 58


Tel.: 0172-5204595



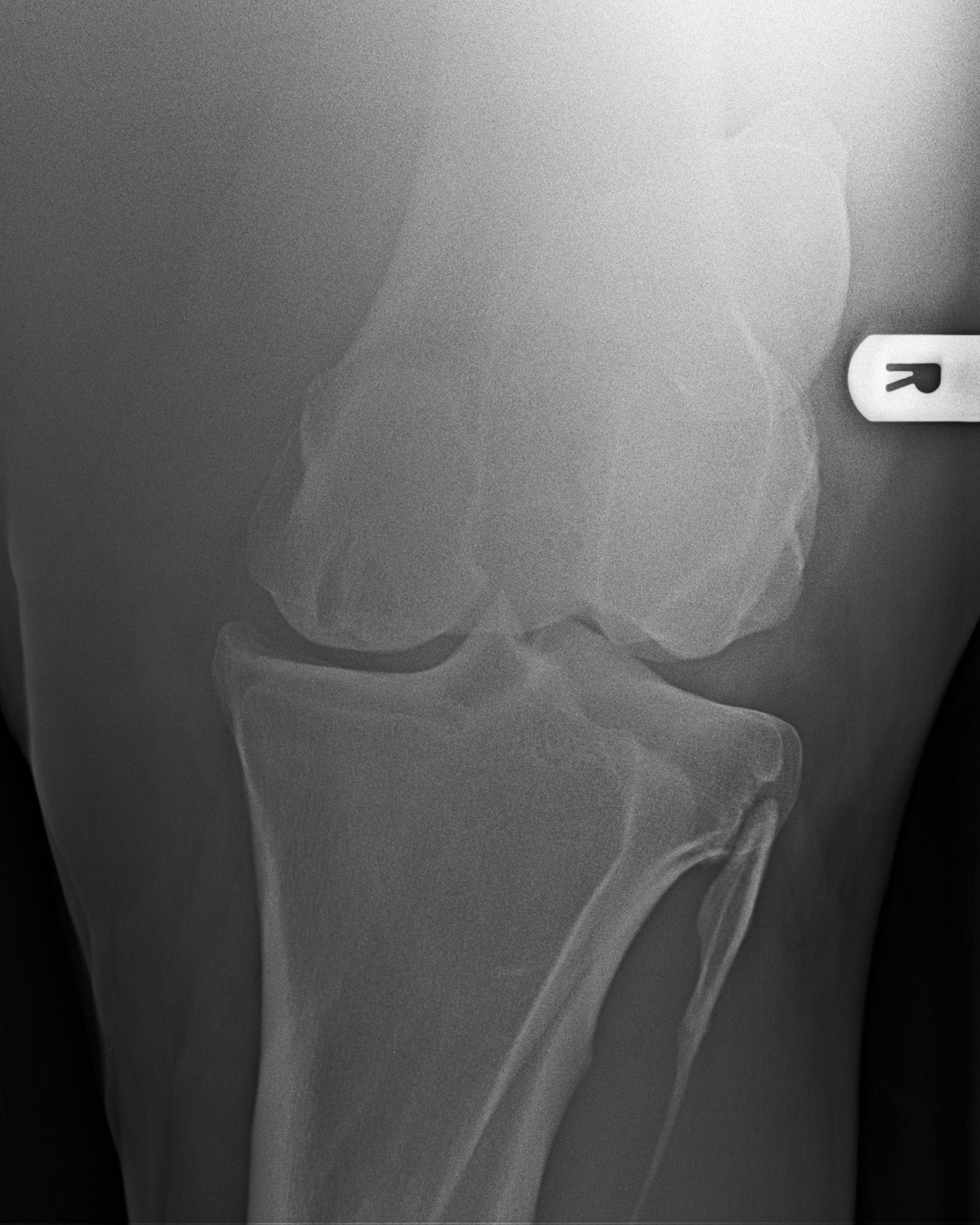
Kniegelenk - 0°-Aufnahme